index-ray
Johannes Abend
Hauptstraße 24
79256 Buchenbach
Tel: +49 (171) 6723118
Fax: +49 (7661) 909433
E-Mail: info@index-ray.de

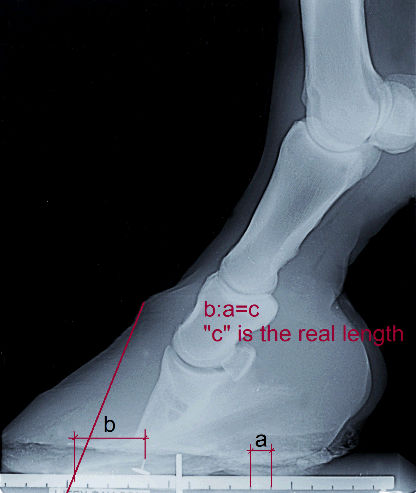
Die patentrechtlich geschützte Lösung zur leichten und exakten Ausmessung ihrer
analogen und digitalen Röntgenaufnahmen.